Prophylaxie

Soigner c'est aussi prévenir l'apparition de problèmes dentaires et parodontaux, afin d'éviter de futurs soins lourds et invasifs.

Aéropolissage

Cette technique permet d'éliminer des colorations (tabac, café, thé...), d'assainir les gencives, et de polir les surfaces dentaires par la production d'un jet d'eau mélangé à de la poudre d'aéropolissage.

Scellement de sillons

Le scellement des sillons consiste à appliquer une résine protectrice préventive incolore sur les molaires définitives afin d'éviter l'apparition des caries.

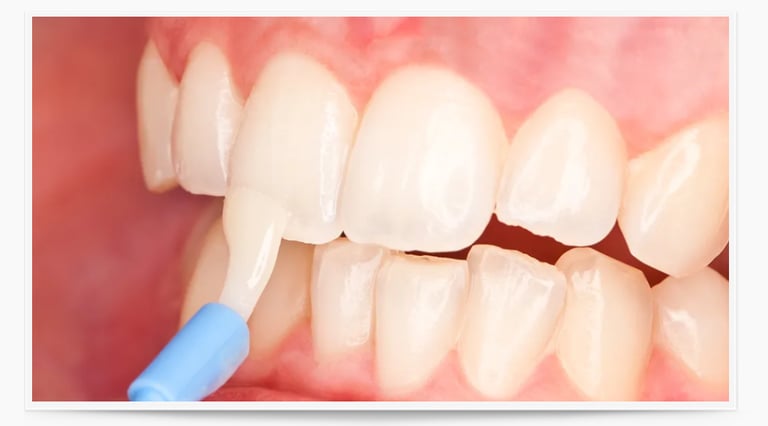
Le vernis fluoré est une couche de protection appliquée sur les dents. Il aide à prévenir la carie, car il renforce l'émail dentaire.

Application de vernis fluoré